Bác sĩ cảnh báo về cách sơ cứu vắt chanh vào miệng người bất tỉnh
Bác sĩ cảnh báo về các trường hợp tử vong, nguy kịch do gia đình vắt chanh vào miệng người bất tỉnh thay vì gọi cấp cứu. Đây là hành động phản khoa học, gây tắc đường thở và cướp đi "thời gian vàng" cứu chữa.
Các bác sĩ tại TP.HCM vừa liên tiếp cấp cứu hai trường hợp nguy kịch, trong đó một ca đã tử vong, do người nhà áp dụng mẹo dân gian vắt chanh vào miệng bệnh nhân đột quỵ, hôn mê.
2 bi kịch từ một sai lầm dân gian
Bác sĩ chuyên khoa 2 Nguyễn Thắng Nhật Tuệ, Trưởng khoa Cấp cứu, Bệnh viện Gia An 115 (TP.HCM), cho biết ông và các cộng sự vừa tiếp cứu một trường hợp nguy kịch do đột quỵ vào ngày 17/11. Bệnh nhân là người đàn ông 43 tuổi (tên đã thay đổi, ngụ TP.HCM), có tiền sử tăng huyết áp nhưng thường xuyên bỏ thuốc.
Sáng hôm đó, người vợ đợi mãi không thấy chồng xuống nhà, chị chạy lên tìm thì phát hiện ông đã gục trong nhà vệ sinh nên hốt hoảng gọi cấp cứu 115.
Đáng chú ý, trong lúc chờ xe cấp cứu đến, người vợ đã cuống cuồng vắt chanh và cho chồng uống thuốc hạ áp với hy vọng "cầu may".
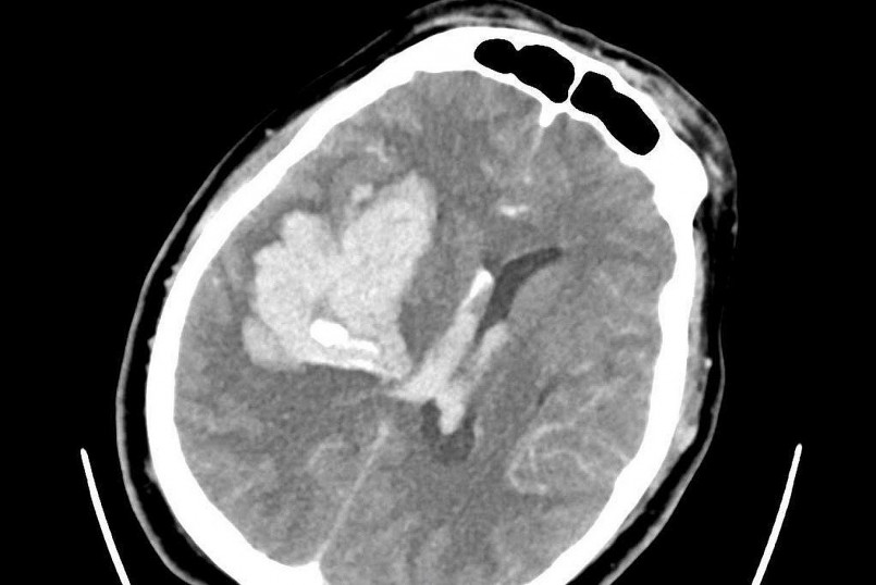
![]() |
| Ảnh chụp CT cho thấy bệnh nhân bị xuất huyết não nặng (Ảnh: BS). |
Khi ê-kíp cấp cứu tiếp cận, bệnh nhân đã lơ mơ, liệt hoàn toàn nửa người trái, mất khả năng ngôn ngữ và huyết áp đo được cực kỳ cao: 248/184 mmHg. Kết quả CT não cho thấy bệnh nhân bị xuất huyết não diện rộng.
"Trong lúc đặt ống nội khí quản để bảo vệ đường thở, chúng tôi phải hút ra khá nhiều nước cốt chanh và cả bả thuốc còn đọng trong hầu họng. Đây là điều cực kỳ nguy hiểm", bác sĩ Tuệ nhấn mạnh. Bệnh nhân lập tức được chuyển mổ cấp cứu để xử lý xuất huyết não và hiện vẫn đang được theo dõi sát tại khoa Hồi sức tích cực (ICU).
Bác sĩ Tuệ cho biết thêm, chỉ vài ngày trước đó, một bi kịch thương tâm khác đã xảy ra. Một người đàn ông 52 tuổi (ở TP.HCM) cũng bất ngờ hôn mê tại nhà sau vài ngày có triệu chứng mệt.
Thay vì gọi cấp cứu 115 ngay, gia đình đã cố vắt chanh vào miệng ông với hy vọng bệnh nhân tỉnh lại. Nhưng việc này khiến người đàn ông khó thở nặng hơn, trì hoãn việc hồi sức cấp cứu.
"Khi chúng tôi đến, bệnh nhân đã tím tái, ngưng tim. Trong quá trình đặt nội khí quản, khí quản bệnh nhân trào ra rất nhiều nước cốt chanh và cả các tép chanh... Hậu quả là khi ê-kíp cấp cứu tiếp cận, bệnh nhân đã ngưng tim, ngưng thở, phù não nặng do thiếu oxy kéo dài, không còn khả năng cứu chữa", bác sĩ Tuệ đau xót chia sẻ.
![]() |
| Các bác sĩ cấp cứu bệnh nhân. Ảnh: BSCC. |
Vắt chanh vào miệng bệnh nhân đang hôn mê nguy hiểm thế nào?
Bác sĩ Tuệ phân tích, khi bệnh nhân đã rơi vào trạng thái bất tỉnh, lơ mơ, yếu liệt hoặc hôn mê, khả năng nuốt và phản xạ bảo vệ đường thở của họ đã mất hoặc suy giảm nghiêm trọng.
Việc cố gắng đổ bất cứ thứ gì vào miệng, dù là nước lọc, nước chanh hay thuốc, đều rất dễ gây sặc. Chất lỏng thay vì đi vào dạ dày sẽ tràn thẳng vào đường thở (khí quản, phổi).
Hậu quả ngay lập tức là gây tắc nghẽn đường thở, khiến tình trạng suy hô hấp của bệnh nhân thêm trầm trọng, dẫn đến ngưng tim nhanh hơn. Về lâu dài, nó có thể gây viêm phổi hít, nhiễm trùng, cản trở quá trình điều trị và hồi sức.
Không chỉ vắt chanh, nhiều biện pháp dân gian khác như chích máu ở dái tai, nặn máu ở đầu ngón tay, ngón chân, hay bôi vôi vào lòng bàn tay... đều hoàn toàn phản khoa học. Chúng không những không có tác dụng mà còn gây tổn thương thêm cho người bệnh và làm lãng phí "thời gian vàng" – thời điểm then chốt để cứu sống não và tính mạng bệnh nhân.
3 điều bắt buộc phải nhớ khi có người bất tỉnh, nghi đột quỵ
Qua các trường hợp đáng tiếc trên, bác sĩ Nguyễn Thắng Nhật Tuệ khuyến cáo người dân 3 việc cần làm ngay khi phát hiện người thân có dấu hiệu bất tỉnh hoặc nghi ngờ đột quỵ:
1. Gọi cấp cứu 115 ngay lập tức: Đây là hành động quan trọng nhất. Mỗi phút trôi qua, hàng triệu tế bào não sẽ bị tổn thương vĩnh viễn. Trong lúc chờ đợi, cần mở cửa nhà, dọn đường sẵn để nhân viên y tế tiếp cận nhanh nhất.
2. Sơ cứu đúng cách:
Tuyệt đối không cho bệnh nhân ăn hoặc uống bất cứ thứ gì.
Theo dõi hô hấp và tuần hoàn của bệnh nhân.
Nếu bệnh nhân hôn mê nhưng vẫn còn thở, hãy đặt họ ở tư thế nằm nghiêng an toàn (đầu thấp, miệng mở). Tư thế này giúp chất nôn hoặc đờm dãi (nếu có) thoát ra ngoài, tránh trào ngược vào đường thở gây suy hô hấp.
3. Không chủ quan với các dấu hiệu sớm:
Không chủ quan với triệu chứng mệt bất thường, kiệt sức không rõ nguyên nhân, đặc biệt khi kéo dài.
Đối với người bệnh tăng huyết áp, việc bỏ thuốc, tự xem nhẹ chỉ số huyết áp là cực kỳ nguy hiểm. Đột quỵ ở người trẻ đang ngày càng phổ biến, và nhiều trường hợp có thể tránh được nếu tuân thủ điều trị và không xử trí sai lầm trong lúc chờ cấp cứu.







