Dị ứng thời tiết: Biểu hiện và cách phòng ngừa
Dị ứng thời tiết là bệnh lý thường gặp, xuất hiện quanh năm, đặc biệt là vào thời gian giao mùa. Tuy không ảnh hưởng nhiều đến sức khỏe nhưng chúng ta cần có những hiểu biết về dấu hiệu cũng như cách phòng chống để tránh ảnh hưởng tới sinh hoạt hằng ngày.
Dị ứng thời tiết là gì?
![]() |
Dị ứng thời tiết là hiện tượng xảy ra đối với cơ thể vào thời gian chuyển mùa, khi nhiệt độ thay đổi nóng – lạnh hoặc độ ẩm ảnh hưởng đến sự phát triển của dị nguyên nấm mốc, phấn hoa tồn tại trong không khí dẫn đến dị ứng thời tiết.
Từ đó sẽ xuất hiện các phản ứng dị ứng, sản sinh ra hàng loạt kháng thể, chất hóa học trong cơ thể, nhằm chống lại các yếu tố kích thích từ môi trường bên ngoài, gây hại cho cơ thể.
Người bị dị ứng thời tiết khi tiếp xúc với các yếu tố bất lợi sẽ xuất hiện các triệu chứng rất nhanh.
Các biểu hiện của dị ứng thời tiết?
Những người khi bị dị ứng thời tiết thường sẽ gặp những biểu hiện sau:
Phát ban
![]() |
| Người bị phát ban do dị ứng thời tiết |
Phát ban xuất hiện trên bề mặt da với những mẩn đỏ, nhất là ở vùng tay, chân, kể cả mặt, gây cảm giác ngứa, khó chịu, khi tác động gãi sẽ làm cho những nốt mẩn đỏ càng lan rộng ra.
![]() |
Người bị viêm mũi do dị ứng thường xuất hiện những dấu hiệu như khô mũi họng, ngứa ngáy vùng mũi, hắt hơi, ngạt mũi, chảy nước mũi, mệt mỏi, mất tập trung.
Nổi mề đay
![]() |
Là triệu chứng đặc trưng, nhưng cũng là triệu chứng nguy hiểm. Khi bề mặt da tác động với sự thay đổi đột ngột của độ ẩm sẽ gây ngứa ngáy và tạo những mảng mề đay nổi toàn thân
. Ở giai đoạn nặng, nổi mề đay khiến cơ thể rơi vào trạng thái khó thở, tụt huyết áp nhanh, sốc phản vệ và có thể dẫn đến tử vong.
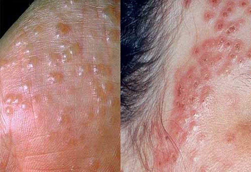
Chàm bội nhiễm
![]() |
Cơ thể người dị ứng có dấu hiệu nổi mẩn đỏ có thể kèm theo mụn nước li ti, chảy dịch vàng, có nhiều vảy gầu ở đầu, khuỷu tay, đầu gối và mặt. Mỗi đợt chàm bội nhiễm xuất hiện thường kéo dài và ảnh hưởng đến làn da của người bệnh.
Khò khè, ho hoặc khó thở
![]() |
Cái triệu chứng thường tái diễn nhiều lần mỗi khi thay đổi thời tiết hoặc chuyển mùa, cần đi khám sàng lọc, phát hiện sớm hen phế quản để kiểm soát bệnh ổn định tránh chuyển nặng gây đe dọa tính mạng.
Dị ứng thời tiết có nguy hiểm không?
Mỗi cá thể sẽ có những phản ứng khác nhau, mức độ dị ứng cũng khác nhau dẫn đến những biểu hiện khác nhau.
Đối với dị ứng thời tiết nóng, cơ thể vào thời gian này sẽ tiết ra mồ hôi nên da chúng ta luôn trong trạng thái ẩm ướt, dẫn đến tình trạng viêm nhiễm, làm bệnh ngày càng nặng hơn.
Đối với dị ứng thời tiết lạnh nổi mẩn đỏ là hiện tượng xảy ra vào mùa đông, nhiệt độ hạ thấp làm không khí trở nên khô hơn làm nguyên nhân dẫn đến tình trạng dị ứng.
Dị ứng thời tiết bao gồm dạng cấp tính và mạn tính. Thời gian nếu bệnh ở giai đoạn cấp tính là từ 24 giờ đến 6 tuần. Nếu không được chữa trị kịp thời và đúng cách, bệnh sẽ chuyển sang giai đoạn mạn tính có thể gây nguy hiểm cho cơ thể như phù nề, nhiễm trùng da, tụt huyết áp, sốc phản vệ và trường hợp xấu nhất sẽ dẫn đến tử vong.
Nên làm gì khi bị dị ứng?
Không thể chữa trị dứt điểm khi bị dị ứng thời tiết vì nó liên quan tới cơ địa và hệ miễn dịch của từng người. Đối với những người bị dị ứng thời tiết chỉ có giải pháp điều trị theo từng đợt và hạn chế tiếp xúc với các yếu tố thời tiết bất lợi.
Các cách phòng ngừa?
![]() |
| Không dùng thuốc lá và đồ uống có cồn khi bị dị ứng |
- Để phòng ngừa bệnh, cách tốt nhất là hạn chế tiếp xúc với khói bụi, phấn hoa.
- Không được hút thuốc lá và uống đồ uống có cồn để tránh kích thích tình trạng dị ứng trở nên trầm trọng hơn.
- Khi thấy bề mặt da có các hiện tượng mẩn đỏ, ngứa rát nghi dị ứng thời tiết, không nên gãi để tránh làm tổn thương da và làm tình trạng lây lan rộng hơn.
- Hạn chế ăn các đồ cay nóng, uống đồ uống quá lạnh
- Tránh uống sữa và ăn các thực phẩm chế biến từ sữa
- Không nên ăn các loại thực phẩm dễ gây kích ứng như: đậu phộng, hải sản,…
- Ăn uống đủ chất dinh dưỡng, nhiều trái cây, rau xanh, nước trà xanh và có chế độ làm việc, nghỉ ngơi hợp lý
Khi dùng các biện pháp giảm dị ứng mà không có kết quả hoặc tình trạng bệnh ngày càng nặng, cần đến gặp các bác sĩ chuyên môn để được chuẩn đoán và điều trị kịp thời.














