Thực trạng đáng báo động về sức khỏe răng miệng người Việt
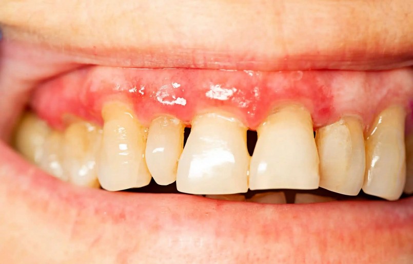
Theo các thống kê gần đây được công bố tại Hội nghị khoa học và triển lãm Răng Hàm Mặt Quốc tế, bức tranh sức khỏe răng miệng tại Việt Nam đang ở mức đáng lo ngại. Hơn 85% trẻ em bị sâu răng, trên 80% người trưởng thành mắc viêm lợi và viêm quanh răng. Đáng chú ý, dù tỷ lệ mắc bệnh tương đương thế giới, mức độ trầm trọng và phức tạp của các ca bệnh ở Việt Nam thường cao hơn do phần lớn bệnh nhân chỉ tìm đến bác sĩ ở giai đoạn muộn.
![]() |
| Hơn 85% trẻ em bị sâu răng, trên 80% người trưởng thành mắc viêm lợi và viêm quanh răng. |
PGS.TS Trần Cao Bính, Giám đốc Bệnh viện Răng Hàm Mặt Trung ương, nhấn mạnh: "Các bệnh lý răng miệng là nguyên nhân chủ yếu gây mất răng sớm. Nếu được phát hiện sớm, việc điều trị sẽ bớt tốn kém và hiệu quả tăng cao". Việc chậm trễ không chỉ dẫn đến mất răng, mà còn kéo theo các hệ lụy như di lệch răng lân cận, xáo trộn hệ thống nhai, ảnh hưởng khớp thái dương hàm và thậm chí gây ra các viêm nhiễm nghiêm trọng như viêm xoang hàm, viêm tủy xương.
Vậy đâu là những rào cản chính khiến người Việt chần chừ trong việc chăm sóc và điều trị các bệnh lý răng miệng?
Năm lý do cốt lõi khiến người Việt trì hoãn điều trị nha khoa
Qua thực tiễn lâm sàng và các khảo sát, giới chuyên gia đã chỉ ra 5 nguyên nhân chính sau đây:
Hạn chế về kiến thức và nhận thức
Một bộ phận lớn người dân chưa được trang bị đầy đủ kiến thức về quá trình tiến triển âm thầm của bệnh răng miệng. Nhiều người xem các dấu hiệu như chảy máu lợi nhẹ, mảng bám là bình thường, thậm chí coi tình trạng đau răng, mất răng là "dấu hiệu tuổi già khó tránh". Sự thiếu hiểu biết về hậu quả nghiêm trọng khi để bệnh kéo dài là nguyên nhân gốc rễ làm giảm động lực can thiệp sớm.
Rào cản tài chính và chi phí điều trị
Chi phí nha khoa, đặc biệt là các phương pháp điều trị chuyên sâu, thường khá cao so với thu nhập trung bình. Đối với nhiều gia đình, chi phí này dễ bị xem là "không ưu tiên" so với các nhu cầu thiết yếu khác. Hơn nữa, bảo hiểm y tế hiện tại chủ yếu chi trả cho các bệnh lý phổ thông, trong khi dịch vụ nha khoa công nghệ cao thường không nằm trong danh mục hoặc chỉ được hỗ trợ một phần rất hạn chế, tạo ra gánh nặng tài chính lớn cho người bệnh.
Tâm lý sợ đau và lo ngại thủ thuật nha khoa
Nỗi sợ hãi khi đến phòng nha là một rào cản tâm lý phổ biến không chỉ ở Việt Nam mà trên toàn thế giới. Những trải nghiệm đau đớn trong quá khứ như trám răng, nhổ răng có thể để lại ám ảnh lâu dài. Ngay cả khi công nghệ nha khoa hiện đại đã có nhiều bước tiến vượt bậc với các kỹ thuật không đau, nhiều người vẫn mang tâm lý hoài nghi và e ngại.
Mạng lưới nha khoa phân bố không đồng đều:
Các cơ sở nha khoa chất lượng cao với trang thiết bị hiện đại chủ yếu tập trung tại các thành phố lớn. Người dân ở khu vực nông thôn, vùng sâu vùng xa gặp nhiều khó khăn trong việc tiếp cận dịch vụ, phải di chuyển xa, tốn kém thời gian và chi phí. Trong khi đó, y tế tuyến cơ sở thường không được trang bị đủ để thực hiện các dịch vụ nha khoa chuyên sâu.
Ảnh hưởng từ văn hóa tự chữa và mẹo dân gian
Quan niệm "bệnh nhẹ tự khỏi" hay "dân gian có mẹo chữa đau răng" đã ăn sâu vào nếp nghĩ của nhiều người. Khi gặp các vấn đề như sưng nướu, đau răng, không ít người chọn cách tự điều trị tại nhà bằng nước muối, lá trầu, hoặc tự ý mua thuốc kháng sinh, giảm đau không theo kê đơn. Thói quen này làm lỡ "thời điểm vàng" để điều trị, khiến bệnh ngày càng trầm trọng.
![]() |
| Nỗi sợ hãi khi đến phòng nha là một rào cản tâm lý phổ biến không chỉ ở Việt Nam mà trên toàn thế giới. |
Hướng đi nào cho sức khỏe răng miệng quốc gia?
Để giải quyết những thách thức trên, cần có một chiến lược đồng bộ từ cấp vĩ mô đến ý thức của mỗi cá nhân.
Thứ trưởng Bộ Y tế Nguyễn Tri Thức nhận định, ngành răng hàm mặt cần ưu tiên phát triển chương trình nha học đường toàn diện từ bậc mầm non, đồng thời đẩy mạnh ứng dụng công nghệ số, trí tuệ nhân tạo (AI) và xây dựng cơ sở dữ liệu sức khỏe răng miệng quốc gia.
Theo GS. Võ Trương Như Ngọc, Phó Viện trưởng Viện Đào tạo Răng Hàm Mặt (Đại học Y Hà Nội), cần tập trung vào 5 giải pháp cụ thể sau:
Tăng cường giáo dục cộng đồng: Nâng cao hiểu biết về bệnh răng miệng qua trường học, truyền thông và y tế cơ sở.
Giảm rào cản tài chính: Minh bạch hóa chi phí và mở rộng phạm vi chi trả của bảo hiểm y tế cho các dịch vụ nha khoa.
Xóa bỏ nỗi sợ hãi: Ứng dụng công nghệ không đau, xây dựng không gian nha khoa thân thiện và tư vấn rõ ràng để người bệnh an tâm.
Mở rộng mạng lưới tiếp cận: Phát triển các phòng nha vệ tinh, xe nha lưu động và tư vấn từ xa để phục vụ các khu vực khó khăn.
Thay đổi thói quen tự chữa: Đẩy mạnh truyền thông về các biện pháp dự phòng và điều trị dựa trên bằng chứng khoa học.
Lời khuyên chăm sóc răng miệng đúng cách từ chuyên gia
BS. Lê Huy Thành, Giám đốc Nha khoa Quốc tế Nacera, chia sẻ rằng việc tự ý thức bảo vệ răng miệng là yếu tố quan trọng nhất. Mỗi người dân cần thực hiện đúng và đủ các bước chăm sóc cơ bản sau:
Chải răng đúng cách: Đánh răng ít nhất 2 lần/ngày, sau khi ăn và trước khi đi ngủ. Sử dụng bàn chải lông mềm và chải đủ các mặt của răng.
Làm sạch kẽ răng: Sử dụng chỉ nha khoa thay vì tăm tre để làm sạch mảng bám ở kẽ răng, tránh làm tổn thương nướu và thưa răng.
Vệ sinh lưỡi: Thường xuyên làm sạch lưỡi để loại bỏ vi khuẩn gây hôi miệng.
Chế độ ăn uống lành mạnh: Hạn chế đồ ngọt, nước có ga. Tăng cường rau xanh, trái cây và các thực phẩm tốt cho răng.
Khám răng định kỳ 6 tháng/lần: Đây là điều kiện tiên quyết để lấy cao răng, phát hiện sớm các bệnh lý và nhận tư vấn chăm sóc phù hợp, giúp tiết kiệm chi phí và bảo vệ nụ cười bền lâu.











