Ca bệnh 'tình cờ' và sức mạnh chẩn đoán của AI
Một trường hợp lâm sàng điển hình tại Bệnh viện Bạch Mai vừa cho thấy tiềm năng to lớn của trí tuệ nhân tạo trong y học. Bệnh nhân nam N.T.T (69 tuổi) nhập viện khoa Phẫu thuật Tiết niệu do đau thắt lưng, được chẩn đoán sỏi thận và chỉ định tán sỏi qua da.
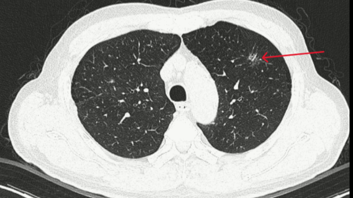
Điều đáng nói là trong quá trình chụp CT để đánh giá tổn thương thận, hình ảnh lại vô tình để lộ một tổn thương dạng kính mờ, có bờ tua gai ở thùy trên phổi trái – một dấu hiệu gợi ý tổn thương ác tính. Bệnh nhân có tiền sử tăng huyết áp, từng bị tai biến mạch máu não (không di chứng) và thói quen hút thuốc lá khoảng 20 bao/năm.
![]() |
| Phần mềm ứng dụng AI trong chẩn đoán ung thư phổi của Bệnh viện Bạch Mai. |
Ngay lập tức, bệnh nhân được chuyển đến Trung tâm Y học hạt nhân và Ung bướu để đánh giá sâu hơn. Tại đây, điểm đặc biệt nhất là tổn thương phổi trên phim CT đã được đưa vào hệ thống AI để phân tích. Kết quả, AI đưa ra xác suất tổn thương này là ác tính lên đến 97%.
Dựa trên cảnh báo có độ tin cậy cao từ AI, hội đồng chuyên môn đã quyết định can thiệp phẫu thuật ngay thay vì tiếp tục theo dõi. Bệnh nhân được phẫu thuật nội soi cắt thùy trên phổi trái và nạo vét hạch.
Kết quả giải phẫu bệnh sau mổ đã xác nhận chẩn đoán: ung thư biểu mô tuyến giai đoạn pT1aN0M0 (giai đoạn IA). Đây là giai đoạn rất sớm của ung thư phổi không tế bào nhỏ, với tiên lượng điều trị cực kỳ khả quan. Đáng chú ý, mô bệnh còn phát hiện tình trạng viêm lao kèm theo. Bệnh nhân không có đột biến gene EGFR hay ALK.
Với chẩn đoán ung thư phổi giai đoạn sớm kèm lao, bệnh nhân được chuyển sang phác đồ điều trị lao và theo dõi ung thư định kỳ. Đây là một ca bệnh vô cùng may mắn, bởi nếu không có sự tình cờ và cảnh báo sớm từ AI, tổn thương có thể đã bị bỏ qua và chỉ được phát hiện khi đã ở giai đoạn muộn.
Gánh nặng toàn cầu mang tên ung thư phổi
Câu chuyện trên là một điểm sáng hiếm hoi trong bối cảnh ung thư phổi vẫn là một thách thức y tế hàng đầu. Theo số liệu của GLOBOCAN 2022, ung thư phổi tiếp tục là loại ung thư đứng đầu thế giới về cả số ca mắc mới (hơn 2,48 triệu ca, chiếm 12,4%) và tỷ lệ tử vong (hơn 1,8 triệu ca, chiếm 18,7%).
Tại Việt Nam, căn bệnh này xếp thứ ba về tỷ lệ mắc nhưng đứng thứ hai về tỷ lệ tử vong.
Thách thức lớn nhất chính là việc phát hiện bệnh. Có tới 85% bệnh nhân chỉ được chẩn đoán khi ung thư đã ở giai đoạn muộn, khiến cơ hội điều trị triệt căn gần như không còn.
Trong khi đó, y văn ghi nhận, tỷ lệ sống sau 5 năm của bệnh nhân ung thư phổi có thể đạt tới 70% nếu phát hiện ở giai đoạn I, nhưng con số này giảm đột ngột xuống dưới 5% khi ở giai đoạn IV. Điều này cho thấy tầm quan trọng sống còn của việc sàng lọc và phát hiện sớm.
![]() |
| Bệnh nhân được phát hiện ung thư phổi giai đoạn rất sớm nhờ hệ thống phân tích hình ảnh bằng trí tuệ nhân tạo (AI) |
AI: 'Vũ khí' mới giúp phát hiện ung thư từ 'trứng nước'
Sự ra đời của kỹ thuật chụp CT ngực liều thấp (LDCT) đã giúp phát hiện nhiều nốt phổi nhỏ. Tuy nhiên, các nốt ác tính ở giai đoạn sớm thường có biểu hiện không điển hình (như dạng kính mờ), gây khó khăn cho bác sĩ trong việc phân biệt với các tổn thương lành tính.
Đây chính là lúc AI phát huy vai trò. Các hệ thống AI được "huấn luyện" để phân tích đa tham số trên hình ảnh, hỗ trợ bác sĩ nhận diện sớm nguy cơ ung thư, giảm thiểu sai sót và nâng cao hiệu quả chẩn đoán.
Theo Phó Giáo sư, Tiến sĩ Phạm Cẩm Phương, Giám đốc Trung tâm Y học hạt nhân và Ung bướu - Bệnh viện Bạch Mai, các dữ liệu tổng hợp cho thấy hệ thống AI trong chẩn đoán ung thư phổi hiện đạt độ nhạy 0,87 và độ đặc hiệu 0,87. Tỷ lệ bỏ sót chỉ khoảng 13% và tỷ lệ chẩn đoán sai là 12%.
"Với diện tích dưới đường cong ROC (chỉ số đánh giá khả năng chẩn đoán) lên tới 0,93, AI đang cho thấy tiềm năng lớn trong hỗ trợ sàng lọc ung thư phổi giai đoạn sớm, giúp bác sĩ rút ngắn thời gian đánh giá và tăng độ chính xác," bác sĩ Phương nhấn mạnh.
Đối với ung thư phổi không tế bào nhỏ giai đoạn IA như bệnh nhân nói trên, phẫu thuật triệt căn vẫn là phương pháp điều trị tiêu chuẩn, mang lại cơ hội chữa khỏi cao.
Hệ thống AI 'Made in Vietnam' tiên phong tại Bạch Mai
Hệ thống AI đang được ứng dụng tại Bệnh viện Bạch Mai là một sản phẩm đáng tự hào, được bệnh viện phối hợp cùng Trường Đại học Công nghệ - Đại học Quốc gia Hà Nội phát triển.
Điểm đặc biệt và tiên phong của phần mềm này là khả năng phân tích đồng thời cả ba loại hình ảnh chính trong chẩn đoán ung thư phổi:
Trên ảnh CT lồng ngực: Phần mềm tự động phát hiện các nốt bất thường, khoanh vùng nghi ngờ ung thư, giúp bác sĩ định hướng nhanh hơn.
Trên ảnh nội soi phế quản: Hệ thống nhận diện tổn thương trong lòng phế quản, kể cả ở vị trí khó quan sát, đồng thời gợi ý vị trí cần sinh thiết để đạt độ chính xác cao.
Trên ảnh mô bệnh học: AI hỗ trợ phân loại tế bào, giúp xác định chính xác loại ung thư (biểu mô tuyến, biểu mô vảy...).
Đây là lần đầu tiên tại Việt Nam, một ứng dụng AI được phát triển đồng bộ trên cả ba phương tiện chẩn đoán quan trọng nhất. Thành công bước đầu này không chỉ mở ra triển vọng lớn cho việc ứng dụng AI trong điều trị ung thư tại ViệtNam mà còn là "cánh tay đắc lực" giúp nâng cao chất lượng chẩn đoán, đặc biệt là ở các tuyến y tế cơ sở.












