Nội soi cấp cứu thành công bé 4 tuổi nuốt phải pin cúc áo
Các bác sĩ tại Bệnh viện Nhi Hà Nội đã nội soi cấp cứu thành công, kịp thời giúp bé 4 tuổi tránh nguy cơ thủng thực quản do nuốt phải pin cúc áo.
| 7 lần sốc điện cứu sống sản phụ mắc bệnh tim, em bé chào đời khỏe mạnh Một học sinh lớp 2 ở Quảng Nam tử vong chưa rõ nguyên nhân Người nổi tiếng quảng cáo lố thực phẩm, Bộ Y tế phát cảnh báo nóng |
Ngày 8/3, khoa Tiêu hóa, Bệnh viện Nhi Hà Nội đã tiếp nhận và nội soi cấp cứu thành công cho bé V.K.V. (4 tuổi, Hà Nội) do nuốt phải pin cúc áo – một loại dị vật cực kỳ nguy hiểm nếu không được xử lý kịp thời.
![]() |
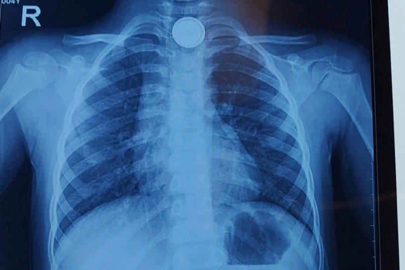
| Vị trí pin cúc áo trong cổ bệnh nhi (Ảnh: Bệnh viện cung cấp). |
Cụ thể, vào lúc 14h cùng ngày, bé V. vô tình nuốt phải pin cúc áo. Ngay sau đó, gia đình nhanh chóng đưa bé đến bệnh viện gần nhà, chụp X-quang phát hiện dị vật mắc ở thực quản ngang mức xương đòn.
Đến 17h30, bé được chuyển đến Bệnh viện Nhi Hà Nội. Nhận thấy mức độ nguy hiểm, ekip Nội soi – Gây mê – Ngoại khoa đã nhanh chóng thăm khám và hội chẩn. Các bác sĩ xác định dị vật cần được nội soi cấp cứu ngay lập tức.
Pin cúc áo không chỉ là một dị vật thông thường mà còn có thể gây tổn thương nghiêm trọng chỉ trong vài giờ đầu. Do có tính chất ăn mòn và tạo dòng điện, loại pin này có thể gây bỏng loét, thậm chí dẫn đến thủng thực quản rất sớm, đặc biệt khi mắc kẹt ở thực quản như trường hợp của bệnh nhi.
Khi tiến hành nội soi, các bác sĩ xác định thực quản quanh vị trí pin đã bị loét nghiêm trọng, cả phía trên và phía dưới dị vật đều phù nề, gây chít hẹp, cản trở đường ra cũng như đường xuống dạ dày.
Quá trình gắp pin gặp nhiều khó khăn do dị vật bị mắc kẹt chặt. Ekip đã sử dụng cả ống nội soi mềm và ống nội soi cứng một lỗ nhưng đều không thể lấy ra ngay do thực quản bị hẹp.
Cuối cùng, sau 3 giờ nỗ lực, bác sĩ Quách Văn Nam cùng ekip khoa Tiêu hóa đã thành công lấy dị vật ra mà không cần can thiệp phẫu thuật mở, giúp bé tránh nguy cơ thủng thực quản và có cơ hội hồi phục tốt hơn sau can thiệp.
![]() |
| Gắp dị vật pin cúc áo trong thực quản bệnh nhi (Ảnh: Bệnh viện cung cấp). |
Theo TS.BS Ninh Quốc Đạt – Bệnh viện Nhi Hà Nội pin cúc áo không chỉ là một dị vật thông thường mà còn có thể gây tổn thương nặng nề chỉ trong vài giờ đầu vì cực âm và cực dương của pin sát nhau, khi nuốt vào trong đường tiêu hoá, gặp nước, dịch nhày sẽ sinh ra dòng điện, giải phóng nhanh và nhiều hydroxyl radical (OH•), tăng nhanh pH, gây ăn mòn mạnh, rất dễ thủng thực quản, thủng lan sang khí quản, động mạch chủ, thủng dạ dày,... trường hợp nặng có thể gây tử vong trong vòng 2 giờ. Về lâu dài rất dễ gây sẹo hẹp, rò,... đường tiêu hoá.
Bác sĩ Ninh Quốc Đạt cũng lưu ý, nếu trẻ không may nuốt phải pin cúc áo, cha mẹ tuyệt đối không được gây nôn. Thay vào đó, cần nhanh chóng đưa trẻ đến bệnh viện gần nhất có khả năng nội soi và gắp dị vật. Nếu không biết nơi nào có thể xử lý, hãy gọi ngay 115 để được hướng dẫn kịp thời.
Nếu trẻ trên 1 tuổi và thời gian nuốt dị vật không quá 12 tiếng trên đường đi cho trẻ uống mật ong với liều lượng 10 ml/lần (khoảng 2 thìa cafe) và 10 phút 1 lần. Không uống quá 6 lần.
Ngoài ra, nếu có thể, hãy mang theo vỏ bao bì của viên pin hoặc ước lượng kích thước để cung cấp thông tin cho bác sĩ, giúp đánh giá chính xác tình trạng và đưa ra phương án xử trí phù hợp.
"Mật ong chỉ làm chậm tổn thương chứ không thay thế việc nội soi lấy dị vật. Nếu mật ong không sẵn có thì không chờ đợi, hãy đưa trẻ ngay tới bệnh viện" - TS.BS Ninh Quốc Đạt – Bệnh viện Nhi Hà Nội khuyến cáo.
Cẩn trọng khi trẻ nuốt phải dị vật: Dấu hiệu nhận biết và cách xử lý
Trẻ nhỏ có xu hướng tò mò và dễ đưa các vật trong tầm mắt vào miệng, dẫn đến nguy cơ hóc hoặc nuốt phải dị vật như đồng xu, pin, đồ chơi nhỏ, hạt trái cây, đinh, vít, tăm… Những dị vật này có thể mắc kẹt trong đường tiêu hóa hoặc rơi vào phổi, gây ra các triệu chứng nguy hiểm như:
Ho khan, tiết nhiều nước bọt, đau khi nuốt, buồn nôn, nôn ra máu.
Khó nuốt, đau tức ngực, khó thở, nóng rát vùng xương ức.
Trường hợp nặng có thể dẫn đến viêm phổi, suy hô hấp, xuất huyết, thậm chí nguy hiểm đến tính mạng.
Cách xử lý khi trẻ nuốt dị vật:
Khuyến khích trẻ ho mạnh để đẩy dị vật ra.
Nếu ho không hiệu quả, cha mẹ có thể đặt trẻ nằm sấp trên đùi, đầu chúc xuống, vỗ nhẹ vào lưng để hỗ trợ đẩy dị vật ra ngoài. Nếu trẻ lớn hơn, có thể áp dụng phương pháp Heimlich: Đứng sau trẻ, vòng tay qua ngực, nắm tay lại, đặt ở vị trí giữa rốn và xương ức, dùng lực kéo mạnh vào trong và hướng lên trên.
Nếu dị vật không ra ngoài hoặc là vật sắc nhọn, tuyệt đối không cố móc họng trẻ vì có thể gây tổn thương thêm.
Nếu trẻ tím tái, khó thở, nôn ra máu, cần đưa ngay đến bệnh viện.
Cha mẹ nên giám sát trẻ khi chơi và ăn uống, tránh để trẻ tiếp xúc với vật nhỏ dễ nuốt. Khi xảy ra sự cố, cần bình tĩnh xử lý và đưa trẻ đến cơ sở y tế kịp thời để đảm bảo an toàn.









