Tự điều trị cúm bằng corticoid, bệnh nhân phải chạy ECMO do viêm phổi bội nhiễm
Tự điều trị cúm bằng corticoid, một nữ bệnh nhân 37 tuổi nguy kịch, phải chạy ECMO (tim phổi nhân tạo) 37 ngày và thở máy 50 ngày.
Bệnh viện Bạch Mai vừa thông tin về ca bệnh viêm phổi bội nhiễm, suy đa tạng do lạm dụng, tự điều trị cúm bằng corticoid. Sau 37 ngày chạy ECMO và thở máy 50 ngày, bệnh nhân mới hồi phục.
![]() |
| Bệnh nhân ngừng ECMO và thở máy sau gần 2 tháng điều trị. Ảnh: BVCC |
Trước đó, theo thông tin từ bệnh viện, bệnh nhân nữ ở Hà Nội bị nhiễm cúm từ ngày 27/10/2022 với biểu hiện sốt, ngứa họng, ho, chảy nước mũi, đau mỏi toàn thân. Bệnh nhân tự điều trị hạ sốt và corticoid (medrol 16mg/ngày). Ba ngày sau tình trạng không cải thiện, sốt cao kéo dài kèm khó thở nhiều, phải thở oxy, sau đó thở máy.
Theo ThS.BS Nguyễn Bá Cường - Trung tâm Hồi sức tích cực, Bệnh viện Bạch Mai, khi vào Trung tâm, tình trạng bệnh nhân rất nặng nề, sốt cao liên tục, sốc nhiễm khuẩn nặng, oxy máu giảm rất thấp, X-quang phổi mờ trắng xóa cả 2 bên phế trường, test nhanh cúm B dương tính. Điều đặc biệt là mặc dù nhiễm cúm nhưng tình trạng nhiễm vi khuẩn trên xét nghiệm rất cao, kèm theo đó là số lượng bạch cầu giảm trầm trọng còn 0.750 G/L (Bình thường 4.0-10.0 G/L).
Tại Trung tâm Hồi sức tích cực, bệnh nhân được điều trị kháng sinh, kháng virus, thở máy và lọc máu hấp phụ. Soi phế quản có hình ảnh nhiều giả mạc lấp kín lòng phế quản 2 bên. Xét nghiệm PCR dịch phế quản: Cúm B kèm bội nhiễm tụ cầu vàng.
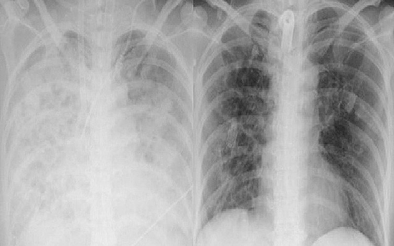
![]() |
| Hình ảnh phim phổi bệnh nhân trước và sau điều trị. Ảnh: BVCC |
Cũng theo BS Cường, triệu chứng giảm bạch cầu rất hay gặp ở bệnh nhân nhiễm virus, đặc biệt là nhiễm cúm và sốt xuất huyết (2 dịch bệnh đang lưu hành rộng rãi ở Việt Nam) làm giảm sức đề kháng của cơ thể.
Corticoid là thuốc chống viêm nhưng có tác dụng phụ là giảm sức chống đỡ của cơ thể. Việc lạm dụng thuốc này ở các bệnh nhân nhiễm virus làm tăng nguy cơ bội nhiễm, đặc biệt là các vi khuẩn kháng thuốc.
Bệnh nhân sau đó không đáp ứng với điều trị hồi sức, phải can thiệp ECMO cấp cứu. Trong quá trình 37 ngày chạy ECMO, gần 50 ngày thở máy với oxy liều cao. Do suy giảm khả năng đề kháng, nữ bệnh nhân này rất dễ nhạy cảm với các vi sinh vật trong bệnh viện và phải điều trị nhiều đợt kháng sinh, kháng nấm.
Đến ngày 3/1/2023, sau hơn 2 tháng nằm điều trị hồi sức tích cực, bệnh nhân được ra viện. Tuy nhiên các tổn thương phổi sau đó có thể sẽ còn tồn tại và cần phải theo dõi trong thời gian dài.
ThS-BS Nguyễn Bá Cường,Trung tâm Hồi sức tích cực, BV Bạch Mai, cho biết triệu chứng giảm bạch cầu rất hay gặp ở bệnh nhân nhiễm virus, đặc biệt là nhiễm cúm và sốt xuất huyết, làm giảm sức đề kháng của cơ thể.
Corticoid là thuốc chống viêm nhưng có tác dụng phụ là giảm sức chống đỡ của cơ thể. Việc lạm dụng thuốc này ở các bệnh nhân nhiễm virus làm tăng nguy cơ bội nhiễm đặc biệt là các vi khuẩn kháng thuốc.










